成人导航

成人导航

| 联系我们 |
成人导航 动态
   
停诊公告:




成人导航 新闻

超声引导下肝脓肿、囊肿等微创介入穿刺治疗新技术应用

稿件来源:超声科   展小军        编辑:杨光      上传时间:2019年11月11日
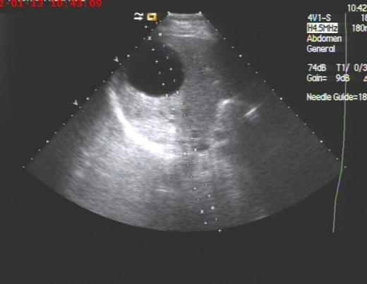
       2019年10月呼吸科收治一男性、83岁高龄肺炎合并巨大肝脓肿患者,病人高烧不退,各项感染指标超高,病人既往是多囊肝病人,于10月17日进行超声引导下巨大肝脓肿抽吸治疗术。超声检查局部肝脓肿测量内经达:14cm,术中抽吸灰白色脓液800ml,并送培养,经一个多小时抽吸注药,直至抽出液体清亮,脓肿完全缩小,当即病人病情缓解,高烧消退。送检后显示感染细菌为克雷白氏杆菌,一周后原脓肿再次穿刺治疗,抽出囊液400ml,再次冲洗治疗,经培养已无细菌,随后痊愈出院。
       我科开展肝脓肿、胆囊脓肿合并肝脓肿穿刺抽吸及置管术几年来,已治愈多例因高龄无法手术者,或术前减压治疗,后期再进一步手术者,经超声引导下囊肿治疗术已广泛应用于临床,因其具有不用开刀、局部麻醉、安全、痛苦小、疗效好、并发症少等特点,已成为各种囊肿治疗的首选。
       通常小囊肿可以观察,但囊肿较大,超过5 cm 且有不适时,则需考虑治疗。目前介入治疗是最为有效的治疗手段,我们在彩超的引导下,进行穿刺,可以有效避开血管,选择最佳路径,经过反复注射无水酒精再抽出就能达到治愈的目的。该项技术对于全身各部位囊肿,尤其卵巢巧克力囊肿效果也非常好。
       囊肿穿刺治疗术价格相对便宜,复杂囊肿2-4次可治愈,属于微创介入手术,术后仅有一针眼、创伤小,可以缓解病人痛苦、减轻经济负担,且不影响正常生活,易于患者接受。还可以对宫外孕未破裂前局部注药治疗,免去开刀痛苦。
       除此之外,我们开展全身各部位肿瘤活检穿刺术,包括肺边缘肿瘤的定性诊断,目前已对颈部淋巴结、肿瘤、肝、肾、乳腺及腹腔内包块进行活检数例,病人得到了明确诊断,同时还可以注射酒精治疗。经超声引导微创诊断和治疗是目前医疗发展的新方向,为患者更好的服务。