成人导航

成人导航

| 联系我们 |
成人导航 动态
   
停诊公告:




成人导航 新闻

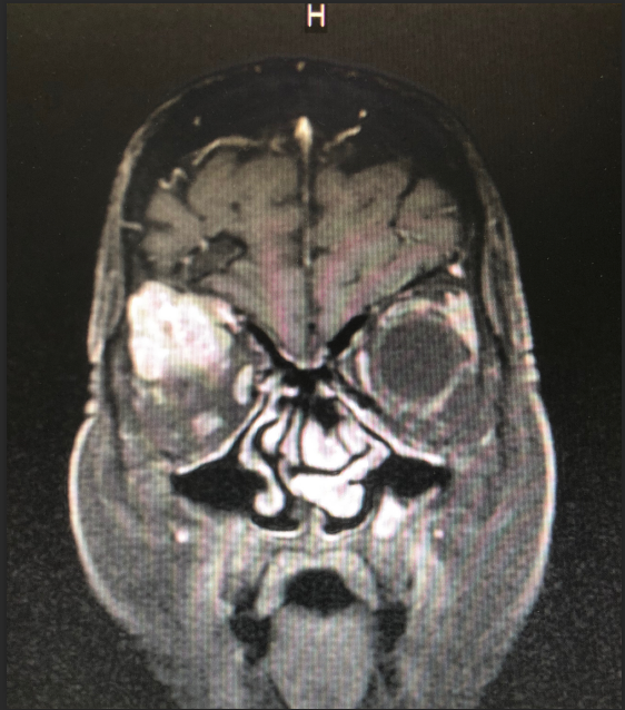
神经外科成功开展成人导航首例完整切除颅内外沟通瘤并颅底眼眶重建修复手术

稿件来源:神经外科 雷超      编辑:杨光      上传时间:2019年1月8日
       2018年12月24日,成人导航 神经外科成功开展了首例“完整切除颅内外沟通瘤并颅底眼眶重建修复手术”,手术非常顺利,患者术后已拆线出院。
       患者王女士,79岁,女性,2周前出现右眼疼痛,眼球突出,随后眼痛逐步加重,右眼视力急剧下降。在当地成人导航 被诊断为眼眶内肿瘤,需手术治疗。但因患者眼眶肿瘤突破眼眶,向颅内生长,手术难度大。患者先后辗转多家成人导航 眼科均无功而返。患者右眼疼痛难忍,最终选择到成人导航 寻求最后的帮助。
       成人导航 神经外科团队接诊后对患者进行了全面检查,诊断为右眼眶肿瘤。因患者肿瘤向颅内生长,颅底及眼眶骨质已完全破坏,传统的手术方式不仅创伤大,更可能因为颅底结构无法完全重建导致患者脑脊液漏,引起颅内感染。神经外科联合眼科进行了手术方式的讨论,根据术中可能出现的各种情况其制定了详细的治疗方案,认真完善术前准备后,于2018年12月24日成功为其开展“完整切除颅内外沟通瘤并颅底眼眶重建修复手术”,手术过程非常顺利,术后患者无视神经损伤,视力较术前明显改善。目前患者已康复出院。
       颅底眼眶疾病是神经外科与眼科的交叉区域,我科该手术的成功开展,不仅标志着我科对眼眶骨折修复及颅底眼眶肿瘤手术新领域的开拓,也将为眼眶疾病的患者带来福音。